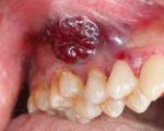
दो बच्चों के साथ 15 साल से मुंह के कैंसर को पाल रही आदिवासी महिला
दो बच्चों के साथ 15 साल से मुंह के कैंसर को पाल रही आदिवासी महिलाबालाघाट जिले के वनांचल क्षेत्रों में बसने वाली आदिवासी जनता अपनी दुर्दशा के अलावा कई घातक बीमारियों से भी जूझ रही है। जिले की बिरसा तहसील की मछुरदा पंचायत के अन्तर्गत आने वाले वन बाहुल्य ग्राम...
Published on 01/06/2021 2:20 PM
SIT पांच दिन की रिमांड में भी नहीं उगलवा पाई मोबाइल का राज, आखिर किस रसूखदार को बचा रहा सरबजीत
जबलपुर नकली रेमडेसिविर इंजेक्शन मामले का मुख्य आरोपी सिटी अस्पताल का डायरेक्टर सरबजीत मोखा से एसआईटी मोबाइल का राज नहीं उगलवा पाई। अब सवाल उठ रहे हैं कि आखिर मोबाइल में ऐसा क्या राज था, जिसके बाहर आने से कई चेहरों के बेनकाब होने का डर था। मोखा की एक...
Published on 31/05/2021 1:32 PM
जबलपुर: बहन को खोजने निकले भाइयों ने प्रेमी के दोस्त को मार डाला
जबलपुर. जबलपुर के खितौला थाना क्षेत्र में दो सगे भाइयों ने शक के आधार पर एक युवक को मौत के घाट उतार दिया. मृतक युवक की 21 मई को शादी हुई थी और वह अपनी जीवन संगिनी के साथ नए जीवन की शुरुआत कर ही रहा था कि उसकी जिंदगी...
Published on 29/05/2021 11:38 AM
SAF जवान को पीटने वाले डॉक्टरों पर कार्रवाई ; SP बोले- कोई भी हो, अपराध बर्दाश्त नहीं किया जाएगा,
रीवा शहर के सुपर स्पेशियलिटी अस्पताल में SAF जवान को पीटने वाले डॉक्टरों पर पुलिस कार्रवाई की है। 6 डॉक्टरों के खिलाफ नामजद और 4 अज्ञात के खिलाफ अमहिया थाने में मामला दर्ज कराया है। SP राकेश कुमार सिंह ने कहा कि कोई भी हो, अपराध बर्दाश्त नहीं किया जाएगा।...
Published on 28/05/2021 1:19 PM
कारनामे छिपाने के लिए पाटन की पहाड़ी में पत्थर से तोड़ डाले थे दोनों महंगे फोन, रात 1 बजे SIT लेकर मौके पर पहुंची,
जबलपुर नकली रेमडेसिविर इंजेक्शन मामले में सिटी अस्पताल के डायरेक्टर सरबजीत सिंह मोखा का बेटा हरकरण शातिरपन में पिता से भी दो हाथ आगे निकला। आरोपी ने सोमवार को नाटकीय अंदाज में गिरफ्तारी के बाद एसआईटी को अंधेरे में रखता रहा। पहले उसने अपने मोबाइल दिल्ली में फेंक देने की...
Published on 26/05/2021 1:24 PM
BJP मंडलाध्यक्ष के भाई पर जबलपुर में रेत नाका के गुर्गों ने की फायरिंग,
जबलपुर रेत विवाद में जबलपुर के शहपुरा में खूनी संघर्ष हो गया। रेत नाका के गुर्गों ने बीजेपी के शहपुरा मंडल अध्यक्ष के भाई को गोली मार दी। इस दौरान करीब 50 राउंड फायरिंग की गई। एक गोली जबड़े को चीरते हुए कान के पास से निकल गई। पुलिस ने...
Published on 26/05/2021 12:19 PM
रीवा एसपी ने 27 कार्यवाहक उप निरीक्षकों के किया इधर से उधर,
रीवा पुलिस अधीक्षक राकेश कुमार सिंह ने सोमवार सुबह कार्यवाहक उप निरीक्षकों समेत 6 सब इंस्पेक्टर के तबादले कर दिए हैं। पुलिस सूत्रों की मानें तो ज्यादातर उप निरीक्षक वर्षों से एक ही जगह पर पदस्थ थे। वे टास्क देने के बाद भी कसौटियों पर खरे नहीं उतर रहे थे।...
Published on 24/05/2021 4:51 PM
चौपट परिवहन को अनलॉक का इंतजार
जबलपुर। यूं तो लॉकडाउन हर क्षेत्र को प्रभावित किया है. लेकिन परीवहन और टैवल सेक्टर की कमर लॉकडाउन ने बुरी तरह तोड़ दी है. आईएसबीटी से विभिन्न २४ रूटों के लिए प्रारंभ होने वाली ६५० बसों में से अब केवल १० प्रतिशत बसों का ही संचालन हो रहा है, लेकिन...
Published on 23/05/2021 11:03 AM
अब यास तूफान से बारिश के आसार
जबलपुर।ताउ-ते तुफान का असर समाप्त होने के बाद अब यास तूफान का असर मौसम पर दिखाई दे रहा है। आसमान में बादलों की बसाहट से उमस भरी गर्मी बैचेन कर रही है। तापमान औसम से नीचे चल रहा है लेकिन गर्मी जमकर पसीना निकाल रही है। एक बार फिर बारशि...
Published on 23/05/2021 10:03 AM
कोरोना चेन को तोड़ने सभी लोग ताकत से काम करें : सीएम
जबलपुर।मजबूत सामाजिक एकता का परिचय देते हुए ३१ मई तक कोरोना संक्रमण को समाप्त करने के लिए सभी को आगे आना होगा। सभी जनप्रतिनिधि अपना श्रेष्ठ योगदान देकर कोरोना को समाप्त करें ताकि १ जून से प्रदेश को लॉकडाउन से आंशिक राहत मिल सके। यह आह्वान मुख्यमंत्री शिवराज सिंह चौहान...
Published on 23/05/2021 10:01 AM





